Restorative Dentistry in Somers, NY

A beautiful, functional smile is essential not only for appearance but also for overall health. Unfortunately, life can take a toll on your teeth through decay, trauma, or wear, leading to discomfort and diminished confidence. Thankfully, restorative dentistry offers comprehensive solutions to rebuild and strengthen your smile. By working with our skilled dentist in Somers, NY, you can explore treatments that restore both the functionality and aesthetics of your teeth, ensuring a lifetime of healthy smiles.
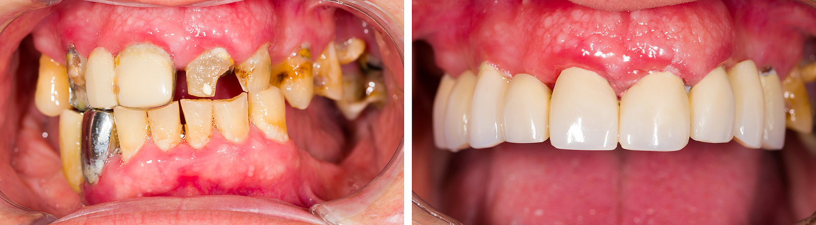
What Is Restorative Dentistry?
Restorative dentistry focuses on diagnosing and treating oral health issues affecting the teeth, gums, and supporting structures. Its primary goal is to restore the function of damaged or missing teeth, allowing patients to eat, speak, and smile with ease. In many cases, restorative procedures also improve the appearance of the teeth, offering a dual benefit for oral health and self-esteem. Contact us to learn more.
Common restorative dentistry procedures include:
- Fillings: Used to repair cavities and prevent further decay.
- Crowns: Protective caps placed over weakened or damaged teeth.
- Bridges: Fixed dental appliances that replace one or more missing teeth.
- Dental Implants: A cutting-edge solution for permanent tooth replacement.
- Dentures: Custom-made prostheses that restore full or partial arches of missing teeth.
The Importance of Restorative Dentistry
Ignoring dental problems can lead to more significant issues, such as severe pain, infection, or tooth loss. Missing teeth can also cause adjacent teeth to shift, leading to misalignment and further complications. Restorative dentistry in Somers, NY, addresses these concerns, providing timely interventions that preserve oral health and prevent costly, extensive treatments in the future.
Additionally, restorative treatments often improve a patient's quality of life. With proper care, individuals can regain the ability to chew and speak comfortably, enhancing their confidence and overall well-being.
Restorative Dentistry Procedures in Detail

Dental Fillings
Dental fillings are among the most common restorative treatments. They repair cavities caused by tooth decay, preventing further damage to the affected tooth. Modern materials like composite resin provide a natural look, seamlessly blending in with the surrounding teeth.
Crowns and Bridges
Crowns, or "caps", are placed over damaged or weakened teeth to restore their shape, size, and strength. On the other hand, bridges replace one or more missing teeth by anchoring them to adjacent natural teeth or implants. Both solutions ensure the proper alignment of your bite and improve the aesthetics of your smile.
Dental Implants
Dental implants are the gold standard for patients seeking a permanent solution to tooth loss. These artificial tooth roots are surgically placed into the jawbone, providing a secure foundation for crowns, bridges, or dentures. Dental implants look and feel like natural teeth and help preserve the jawbone's integrity, preventing bone loss over time.
Dentures
Dentures are an excellent option for replacing multiple missing teeth. Available in full or partial sets, dentures are custom-designed to fit comfortably and restore the ability to chew and speak effectively. Modern advancements in materials and techniques have made dentures more natural-looking and comfortable than ever before.
Root Canal Therapy
When a tooth's pulp becomes infected or damaged, a root canal may be necessary to save the tooth. This procedure involves removing the infected tissue, cleaning the root canals, and sealing the tooth to prevent future issues.
Why Choose Us for Restorative Dentistry in Somers, NY?
Local access to restorative dental care ensures convenience and personalized treatment. Our skilled dentist understands the unique needs of his community and offers tailored solutions to meet individual oral health goals. Whether you're dealing with minor dental issues or require extensive restoration, at Somers Dental Care, you have access to state-of-the-art techniques and compassionate care.
Maintaining Restorative Dental Work
Once you've undergone restorative procedures, proper care is essential to ensure their longevity. Here are some tips for maintaining your results:
- Practice Good Oral Hygiene: Brush twice daily and floss daily to keep your teeth and restorations clean.
- Visit Our Dentist Regularly: Routine check-ups allow our dentist to monitor your restorations and address any issues early.
- Avoid Hard or Sticky Foods: Avoid foods that could damage your crowns, bridges, and dentures to protect them from unnecessary stress.
- Wear a Night Guard if Necessary: If you grind your teeth at night, a custom-fitted night guard can protect your restorations from wear.
- Consider Dental Implants: If you have missing teeth, replacing them with dental implants can prevent further complications and provide a permanent solution.
The Lifelong Benefits of Restorative Care

Restorative dentistry offers numerous benefits, including:
- Improved oral function for eating and speaking
- Enhanced appearance of the teeth and smile
- Prevention of further dental issues, such as misalignment or bone loss
- Increased self-confidence and quality of life
By addressing dental problems promptly, patients can enjoy lasting results and better oral health.
Conclusion
Restorative dentistry is a transformative field that not only restores the function of your teeth but also revitalizes your confidence. Whether you need a filling, crown, bridge, or dental implant, the personalized care provided through restorative dentistry can make all the difference in your oral health journey. Working with our experienced dentist in Somers, NY, ensures you receive high-quality treatment tailored to your needs. Take the first step toward reclaiming your smile by scheduling a consultation today — you deserve a lifetime of healthy, happy smiles.
To schedule an appointment with us at Somers Dental Care, located at 380 Route 202, Somers, NY 10589, call (914) 277-3518. Please visit our official website to learn more about our various services.
Invisalign
Porcelain and Zirconia Onlays, Crowns, Bridges
General and Family Dentistry
Mercury-Free Tooth-Colored Fillings
Oral hygiene (preventative care)
Teeth Whitening
Teeth Whitening / Teeth Brightening
Preventive care / Diagnostics
Durable zirconia dental crowns
Porcelain Dental Veneers
Bridges and Implants
Invisalign / Clear Aligners
Biomimetic Dentistry
Lava™ All-Ceramic System
Bondings
Porcelain Dental Crowns & Bridges
Cosmetic Dentistry
Emergency Dentistry
X-Rays
Intraoral Camera
Root Canals
Treatment for Bruxism/Tooth Grinding
Periodontal screenings and treatment
Dental Implants
Before & After
Office Hours
MON10:00 am - 6:00 pm
TUE10:00 am - 6:00 pm
WED10:00 am - 6:00 pm
THU10:00 am - 6:00 pm
FRIClosed
SATClosed
SUNClosed